まとめ
基本的な説明: 背骨(脊椎)は3つの部分に分かれていて、首(頚椎)には7つの骨があり、胸(胸椎)には12つの骨、腰(腰椎)には5つの骨があります。背骨は椎間板というクッションのような部分で支えられており、真ん中には脊髄という太い神経が通っています。脊髄から枝分かれする神経は根っこのように見えるので「神経根」と呼ばれます。
病気の説明: 主に加齢によって椎体や椎間板が変化し、神経を圧迫して痛みやしびれを引き起こすことがあります。これを「頚椎症」と呼びます。頚椎症には次の3つの症状があります:
頚椎症性神経根症:変形した骨や椎間板が神経根を圧迫し、手や足の痛みやしびれを引き起こします。
頚椎症性脊髄症:脊髄そのものが圧迫され、手指の巧緻障害(ボタンをうまく外せない、はめられない)や歩行障害、場合によっては膀胱直腸障害が生じます。
原因と治療: 神経を圧迫する原因には、骨の変形や靭帯の骨化、椎間板の変性などがあります。痛みが続く場合はMRI検査を行うことが望ましいです。
治療方法: 急性期には頚部を安静にすることが必要です。消炎鎮痛剤やステロイドの注射、頚椎カラーなどを使います。慢性期には理学療法として頚椎の牽引や温熱治療を行います。症状が改善しにくい場合は、リリカ(プレガバリン)やタリージェ(ミロガバリンベシル酸塩)を使用します。
高齢者の場合は、薬の副作用を考慮して少量から投与を始めます。リリカは通常、50mg~75mgで十分な効果が期待できますが、症状によっては増量が必要なこともあります。
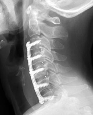
手術の必要性: 症状が進行すると手術が必要になる場合があります。特に膀胱直腸障害がある場合は、早急に手術が検討されます。保存的な治療を続けると障害が残る可能性があるため、適切な判断が必要です。
非特異的頚部痛: 最近では、はっきりした原因のない頚部痛を「非特異的頚部痛」と呼ぶことがあります。これは、外傷や感染、腫瘍などの原因がなくても痛みが出る状態を指します。痛みが出る原因としては、炎症や精神的ストレスが考えられます。
頚椎症、頚椎骨軟骨症、頚椎症性神経根症、頚椎症性脊髄症 cervical spondylosis,cervical spondylotic radiculopathy,cervical spondylotic myelopathy
基本:背骨(脊椎)は上から頚椎、胸椎、腰椎があり、それぞれ7個、12個、5個あります。胸椎には左右にぞれぞれ肋骨がついています。支える部分は椎体といい上下は椎間板がクッションとして存在します。脊椎には中心に脊髄という太い神経が通っています。脊髄から分岐した神経は根っこのように見えるので神経根部と呼びます。神経根は椎体の隙間に椎間孔がありそこから左右にでています。頚椎はC1~C8まであります。
病態:おもに経年変化により椎体や椎間板が変性して神経を圧迫し痛みやシビレを引き起こします。こういった状態を広い意味で頚椎症(正確には変形性頚椎症)、頚椎骨軟骨症とも言います。
頚椎症性神経根症は変形した骨や椎間板が脊髄から出た神経根を圧迫して症状を(神経根を圧迫する症状で、圧迫する部位によって手や足の痛みやシビレ)を起こします。脊髄そのものを圧迫する場合は脊髄症といい手指の巧緻障害(ボタンがうまく外せない、はめられない)や歩行障害が出現し、更に悪化すると膀胱直腸障害を引き起こします。
多くの場合、変形性頚椎症による根症状では肩から手にかけての痛みやシビレが出ます。ひどくなると支配神経領域の運動神経も麻痺し動きや筋力が低下することがあります。運動神経障害が強く出て筋肉の萎縮が生じたり動きが悪化していくようなら手術が必要なこともありますが、実際に手術に至るケースは少ないと言えます。
神経を圧迫する原因は、腫瘍、骨の変形、靭帯の骨化、椎間板変性によるヘルニアがあります。腫瘍を見逃さないようにするために神経障害の症状や痛みが持続するケースではMRIを行った方がよいでしょう。
発熱する場合は結核や脊椎の感染性(化膿性)疾患を考慮します。
治療:急性期は頚部の安静がまず必要です。Nsaidsなどの消炎鎮痛剤、痛みが強い場合はステロイドの注射(感染症の場合は使えません)や頚椎カラーを使います。手足の筋力低下が生じているときは緊急性が高い場合があります。
慢性期には理学療法として頚椎の牽引や温熱治療を行います。またこれらの治療で症状が改善しにくい場合はリリカ(プレガバリン)、タリージェ(ミロガバリンベシル酸塩)やトラムセットを使用しています。
リリカ、タリージェは副作用としてめまいを引き起こすことがありますので、特に高齢者の投薬開始時は効能書き(例えばリリカの場合は、75mg一錠を眠前から開始して翌日は75mg1錠をそれぞれ朝、眠前に服用)より減量して25mg眠前から開始し、副作用が出ないことを確認しながら慎重に増量しています。通常の整形外科疾患ですと50mg~75mg眠前で十分効果が出るように感じていますが、それ以上に必要なこともあります。効き目の発現に少しタイムラグがありますので、経過を診ながらゆっくりと増量します。
リリカや弱オピオイドを初診でドンと出す医療機関もあるのですが、こういった使い方には問題があると考えています。やはり病状に応じた治療を選択することが大切です。
頚髄症は症状が進むと手術が必要となります。必ずしもどんどん進む訳ではなく7-8割の人は保存的に過ごせるとされています。歩行障害や筋力低下、膀胱直腸障害などの症状が出てくる場合は、手術も考慮されるべきでしょう。とくに膀胱直腸障害は発症24~48時間以内に手術含めた除圧が必要です。神経の変性は手術をしても戻りにくいので、保存治療で粘ってしまうと障害が残ったままとなります。
最近、非特異的腰痛症と同じようにはっきりした誘因、原因のない頚部痛を非特異的頚部痛と呼ぶことがあります。これは外傷、感染、腫瘍などの原因がなく痛みが出る状態を表します。ただ痛みが出ると言うことは何かしらの炎症なり不具合(精神的ストレスを含めて)が起こっていると考えられます。

知覚神経とデルマトームそして神経障害レベルの診断
デルマトームとは皮膚割線という意味ですが、身体の各部位においてどの知覚神経が分布しているかを示します。後頭部C2、頸部C3、C4、肩、鎖骨C5、乳頭T4、臍(へそ)T10、そけい部L1というふうにC1~8,T1~12、S1~5まで25本、左右で50本に神経が脊椎から出ています。(C:頚椎、T:胸椎、L:腰椎、S:仙骨)
この分布図からどの神経が障害されているか調べます。もちろんMRIなどの画像診断も形態上の変化を参考にします。例えば右手の親指にしびれがある場合、支配神経はC6です。C6は頚椎のC4/5レベルで脊髄から分岐し、C5/6の椎間孔を通って腕神経叢を経て正中神経の一部として親指と人差し指に分布します。C4/5レベルで椎間板ヘルニアが起こるとC5の神経根症状とC6の髄節障害が起こります。
これは脊椎に比べて神経である脊髄の方が伸び少なくずれが生じるためです。1.5椎体上方にずれています。骨と椎間板で構成される脊椎は、例えばC4/5レベルで椎間板ヘルニアが生じると、真後ろにある脊髄はC6髄節でありC4/5の椎間孔を通る神経はC5神経根となり、この押さえられた部位によって症状が変化します。
頚椎は7個で頚椎から出る神経は8本ですので胸椎からは一つ番号がずれます。また脊髄はL2レベルで脊髄円錐となって終了し以下は神経根が集まって馬尾神経を構成します。馬尾の圧迫は神経根の圧迫症状を起こします。(馬尾には髄節はないので当然、髄節の圧迫症状はありません。)
馬尾は馬のしっぽが開いたように斜め下方に伸びて椎間孔を通過します。このとき同じレベルの椎間板ヘルニアであっても脊柱管内と椎間孔から椎間孔外部では圧迫する神経根が異なります。腰椎L3/4レベルでは、脊柱管内ではL4の神経根症状が、椎間孔から椎間孔外部ではL3の神経根症状が出ます。
(まとめ)
頚椎は椎体の上から同じ番号の神経根が出る。頚髄は椎体より1.5髄節上にある。C4/5で髄節はC6、神経根はC5の症状が出る。
腰椎はL2レベルで脊髄円錐から神経根が集まった馬尾に変わる。L3/4レベルで椎間孔~外側でL3神経根、これより内側でL4神経根の症状が出る。
頚髄の圧迫症状
頚髄の構造はH型の灰白質がありその周囲を白質があります。灰白質は神経細胞が集まっており、白質は縦走する神経線維で構成されています。H型の灰白質は前にある前角と後ろにある後核に分けられます。前角は運動神経、後角は知覚神経が分布しています。
頚髄が圧迫されると神経細胞のある灰白質が最初に障害されるので、該当する髄節の感覚障害(後角)、筋肉の運動障害(前角)が出ます。更に進行すると神経束である白質(錐体路、脊髄視床路、後索)の障害が出てます。
錐体路障害:下肢腱反射亢進、痙性麻痺、歩行障害
脊髄視床路障害:温度覚、痛覚障害
後索障害:深部感覚障害
また排尿障害を起こします。
当初は上肢の痛み、しびれ、筋力低下で始まり、更に進行すると足の腱反射が亢進し歩行障害が出てきます。
平山らの報告では、運動障害主体22.2%、感覚障害主体30.6%、運動+感覚障害45.4%、特殊型1.9%としています。(平山恵造ら 変形性頚椎症の神経障害と臨床病型、108例の分析、神経進歩 1993;37;213-225)
頸椎症(神経根症、頚髄症)の保存的治療、手術療法の選択
頸椎症の手術適応は一ヶ月以上の保存的治療を行っても改善せず日常生活にかなり支障がある、上肢の筋萎縮や麻痺、歩行障害、膀胱直腸障害などが認められるなどに加えて画像診断上痛みと異常所見が合致し手術により改善が見込めることが重要です。頸椎症の神経障害のレベルは慢性に徐々に進行するのではなく、転倒などの頚部の外傷、頚部の運動、頚部の不良な姿勢をとったときなどに悪化し、しばらくすると緩解するといった再発と緩解を繰り返すことが多いとされています。
一般的に初診時に軽症である人はそれほど進行せずに症状も改善して再度悪化することもなく過ごせることもよくあります。悪化を繰り返す場合は頚椎の後方へのすべり症などの不安定性や後屈などの不良な姿勢を取る人に多いと考えられます。
症状にもよりますがまずは医療機関での保存的な治療と局所への負荷を減らすよう生活習慣を改善などをしっかり心がけるべきと思います。
頚椎症性脊髄症と頚椎症性神経根症の違い
いずれも頚椎に退行性変化による神経への圧迫が起こって症状が出ます。圧迫部位がそれぞれ異なり、脊髄症は脊柱の真ん中を通る脊髄が圧迫された病態であり、神経根症は脊髄から分岐し末梢へ行く根部の圧迫(椎間孔での圧迫、狭窄)により症状を起こします。すなわち脊髄症が本幹での圧迫であり、神経根症は分岐した後の圧迫で、押さえられる部位によって症状が異なります。
頚椎症性脊髄症
初めは、手指のしびれ(異常感覚・感覚鈍麻)の頻度が高いとされ、左右何れかに始まり、まもなく両側に進行します。しびれの日内変動はほとんどないとされます。手指の巧緻障害(ボタンがはめにくい)、myelopathy
hand、歩行障害(痙性歩行)、Romberg sign陽性(閉眼して足をそろえる。開眼時に比べてより揺れると陽性)、手指のしびれ、四肢の感覚障害、四肢の筋力低下、深部腱反射亢進、Hofmann
sign、Babinski sign、膀胱直腸障害等の症状があります。圧迫が進行すると下肢錐体路障害の症状として歩行障害や下肢・体幹の感覚障害、膀胱直腸障害が出てきます。
外傷を契機としない症状の急速な悪化は血管病変によることがあります。初発症状として手指のしびれ。感覚障害は末梢ほど強い。しびれや感覚障害がない場合は運動ニューロン疾患を鑑別します。
手指の巧緻障害:指が旨く動かない。ボタンのかけ外しがうまくいかない。myelopathy hand(巧緻障害、手指伸展障害) finger escape
sign(小指が開いていく)、10秒テスト(10秒間にグーパーが何回できるか。25回以上で正常、20回未満は脊髄症を疑う)
発育性脊柱管狭窄:脊柱管前後径12-14mm以下
治療:軽症例は保存治療、重症例~進行性は手術療法。保存治療として装具療法(昼間のみ、夜間は外す。高齢者は転倒防止のため歩行時は外す。)や持続牽引をおこないます。装具は装着して症状が悪化することもあり高さの調整が重要です。持続牽引は軽症例では短期であれば有効な治療となりえます。頚髄症における頚椎間欠牽引療法はエビデンスが無く意義は不明です。持続牽引は入院で行います。持続牽引はグリソン牽引で2-3キロまで、直達牽引であるクラッチフィールドやハローリングでは15kg程度の牽引が限界となっています。
頚椎症性神経根症
頚椎症性神経根症は椎間孔狭窄による圧迫性神経障害と定義されています。原因としてはLuschka関節・椎間関節に生じた骨棘、椎間板膨隆(ヘルニアも含む)、
靱帯の肥厚、神経根周辺組織(A線維、C線維)の侵害受容体の刺激などがあります。
画像診断と診断で想定される障害部位が一致することが重要です。画像所見があるから症状が出るとは限りません。頚椎症性神経根症では障害された神経根が支配する領域での頸部痛、上肢痛、肩甲骨やその周辺の痛み、知覚異常、しびれ、筋力低下、深部腱反射の低下がみられます。その他、三角筋(C5)の筋力低下、手指筋力の低下、翼状肩、胸部痛、頭痛なども起こることがあります。
診断は神経学的診察に加えてレントゲン撮影(6R、正側面、両斜位、前後屈)で評価を行い、神経や椎間板などの軟部組織の評価はMRIで行います。
治療は消炎鎮痛剤、中枢性筋弛緩剤、プレガバリンなどの内服薬、外用薬、頚椎の間欠牽引、頚椎装具などを行います。保存療法での治癒率は70%前後とされています。症状の改善しない場合や悪化する場合は手術を考慮しますが、実際にはしびれや痛みよりも筋力低下などの運動神経症状が強くなってくると手術を選択することが多いです。従ってほとんどのケースで手術をすることなく保存療法で対応し、どうしても旨く治らないケース(進行性の筋力低下や保存療法に抵抗する激しい疼痛)のみ手術を選択しますが、おそらく神経根症のうち数%程度ではないかと思われます。
装具治療は症状が緩和する2-3週間を目安に装着します。夜間の装着が有効とする意見もあります。
最近はいろいろな薬での対応が可能となり、症状を緩和することが以前に比べて格段に進歩していますので痛みが出ても恐れないことが大切です。精神的あるいは社会的要因などが関与すると言われており多角的な治療が必要とされています。
頚椎症性神経根症
神経根症は脊髄から出た神経根部が何らかの原因(多くは頸椎症、椎間板ヘルニア)により圧迫されて生じる神経障害です。
原因は、椎間板ヘルニア、椎間孔前方にあるLuschka関節の骨棘変形、後方にある椎間関節の変形・肥大などがあります。
椎間孔は入り口(脊髄側)が一番狭く、また神経根が一番膨らんでいる場所なので、圧迫症状が出やすい。
症状
肩から上肢に放散する神経根支配領域の疼痛
支配神経に一致した知覚障害
神経支配を受けている筋肉の運動障害
深部腱反射の異常
*頚椎から出た神経根はC1~C8までの8本があり、神経ごとに固有の部位へ分布しています。従って障害された根のレベルによって特徴的な神経障害症状がでることにより障害レベルを類推します。
頚部神経根症の73%に頸部痛が伴います。
検査
徒手検査:ジャクソンテスト、スパーリングテスト、shoulder abduction release sign(上肢外転挙上位で症状緩和)
小指・環指のしびれ 鑑別診断
母指はC6、中指はC7、小指はC8
C7/T1の椎間孔から出るC8神経根症状でも小指・環指のしびれがでます。
それより末梢の尺骨神経傷害(肘部管症候群、ギオン管症候群)でもでます。
神経障害は障害された部位より末梢に症状が出ますので、肘部管症候群では肘より遠位に、ギオン管症候群では手関節より遠位にのみ症状が出ます。
C8の神経根症状では肩甲間部、肩甲骨部に放散痛が出ます。(厳密にはC7,またはC8の障害)、C5,C6の根障害では肩甲上部に根症状として放散痛が出ます。
画像診断
頚椎単純レントゲン撮影、MRI、CTが有効です。骨棘などの変性所見は、必ずしも臨床症状と一致せず、無症候性のこともあります。画像所見が臨床症状と合致する可動か慎重に判断します。
・単純レントゲン撮影:椎間板腔狭小、Luschka関節や椎間関節の変性、骨棘 椎間孔の骨性狭窄は斜位像で描出されやすいですが、斜位像(50-55度)で椎間孔を旨く映し出すのは、なかなか難しく苦労します。(同側、対側と比較します)
・CT、MRI CTは骨の描出に優れ、MRIは軟部組織の描出に優れています。椎間孔の狭窄はMRIでの読影は難しいとされています。正確な診断には、いずれも3mm以下のスライスが必要とされています。神経根症状があるにも関わらず明確な所見が認められない場合は、斜位MRIや3D-MRIが有用であるとされています。
神経根造影・ブロック 障害高位診断と治療に有効
*第1背側骨間筋の萎縮があれば、C8領域の神経障害(尺骨神経傷害も含めて鑑別する必要あり)
*頚椎の運動制限やそれによる疼痛がないとき、あるいは夜間の傷みを訴える場合は、内臓疾患、特に心臓、肺からの放散痛を考慮。
治療
高度の神経麻痺症状がなければ、原則として保存治療を行います。安静、消炎鎮痛剤、頚椎の牽引、温熱治療。慢性期には、ストレッチ、頚部筋力強化訓練、理学療法。保存治療に抵抗性で症状の再燃を繰り返す場合や、筋力低下、脊髄症状を呈する場合は手術が行われます。後方アプローチから椎間孔拡大術が行われる場合が多い。
頚部脊髄症(頚椎症性脊髄症)
初発症状は、手指のしびれ(異常感覚、感覚鈍麻)、左右何れかで発症してもまもなく両側になる
しびれの日内変動はほぼなし
その後、巧緻障害(お箸が使いにくい、ボタンがはめにくい、書字障害)がでてくる
進行すると下肢錐体路症状(歩行困難、下肢体幹の感覚障害)さらには膀胱直腸障害となる
運動障害様式からみた新病型分類(三原久範 横浜南共済病院整形外科脊椎脊髄センター)
| 病型 | 推定障害域 | 特徴的症候 | 運動障害の左右差 |
| anterior 前方障害型 |
前角~前根 |
・片側上肢の運動障害・筋萎縮
上下肢共に知覚障害はほとんどない |
ほとんどが片側性 |
| central 中心障害型 |
脊髄中心部 |
・両上肢主体の運動障害
知覚障害も両上肢に優位 |
両側性 |
| posterior 後方障害型 |
後索 |
・失調性の歩行障害が主
深部感覚障害が四肢にみられる |
両側性 |
| unilateral 片側障害型 |
脊髄片側 |
・片側上下肢の運動障害
典型例では解離性知覚障害 |
片側性 |
| transverse 横断性障害型 |
脊髄横断面全域 |
・両側上下肢の運動障害
四肢・体幹に広範な知覚障害 |
両側性 |
頚部脊髄症の責任椎間板高位決定の診断基準
| 障害レベル | C3-4 | C4-5 | C5-6 | C6-7 |
| 障害髄節 | C5 | C6 | C7ー(C8) | C8 |
| 障害部位 | 前根付着部C4下部(運動髄節) 後根付着部C5上部(知覚髄節) |
運動C6上 知覚C6中央 |
運動C7中央 知覚C8上部 |
運動C8 知覚C8下部 |
| 腱反射 | 上腕二頭筋腱反射(C5)↑ | 上腕二頭筋腱反射↓ | 上腕三頭筋腱反射↓ | |
| 筋力 | 三角筋↓83% | 上腕二頭筋↓71% | 上腕三頭筋↓79% | |
| 知覚障害 | 上腕~前腕~手指全体58% | 手関節以遠68% | 前腕尺側~2-5指96% |
*成長とともに脊髄より骨の方が長く伸びます。その結果、椎体レベルより1分節から1.5分節、脊髄の方が上に位置するようになります。
*しびれはデルマトームに一致しないことが多く、高位診断をしびれだけで行うと誤診の原因となります。
snake eye sign (蛇の目徴候)
頚椎症性脊髄症のMRIでみられる所見です。脊髄が圧迫されて腫れると蛇の目のように見えることをいいます。
脊髄前角の両側性T2高信号で、平山病や脊髄梗塞でも生じます。

頚が悪くて腰の症状が出ることがあります
頚椎の変形や椎間板ヘルニアで脊髄を圧迫すると手や足に症状が出ることがあります。度々問題となるのは、頚椎が悪いのに腰や足の症状が出る場合です。こういった場合、腰部に狭窄などの病変が無いか調べることが多いのですが、腰にはあまり大した所見が無いのに、頚椎で著しい狭窄を起こしている場合があります。
このような場合、頚椎から手術を行って経過をみて、腰部の症状である間欠性跛行が強く出るときは、腰の手術を追加します。
頚髄症で起こる腰部以下の症状としては、S1領域の坐骨神経痛を起こすケースが多いようです。また歩行障害は痙性麻痺によるもので、これに腰部から来る間欠性跛行が混ざるようにして症状を発しますので、臨床所見をしっかりと把握することが大切です。
脊椎は頚椎、胸椎、腰椎からなり、1箇所の病変だけではなく数カ所の障害により症状を起こすこともよくありますので,注意が必要です。
頸椎症と鑑別を要する疾患
・ALS(筋萎縮性側索硬化症)
運動麻痺が進行する難病 診断は難しく、初発症状は上肢遠位部の筋力低下と筋萎縮が多い。下肢から発症する場合もあります。後頸筋群の障害で首下がりとなる。前頚部筋も障害されると臥位で首が前屈できない。前腕筋の障害で握力低下、手内筋で箸がうまく使えない、字がうまく書けないなどの指の巧緻運動障害がでます。
麻痺はいずれの部位から発症しても筋力低下と筋萎縮は徐々に拡大して、球麻痺、四肢麻痺となり、数年後には大多数が臥床状態となります。
筋萎縮と線維束性収縮、猿手・鷲手、球麻痺、呼吸筋麻痺
陰性4徴候:ALSでない徴候:外眼筋麻痺、感覚障害、排尿(便)障害、褥瘡
*球麻痺とは
球とは延髄を意味します。球麻痺は、延髄の麻痺、すなわち、延髄の運動神経核病変による麻痺、脳幹下部の脳神経(IX~XII)が支配している筋の下位運動ニューロン性両側性麻痺。
*偽性球麻痺
脳幹より上位の両側脊髄路の障害による上位運動ニューロン麻痺により球麻痺と同様の症状を呈する
→脳神経(IX~XII)とは
XI:舌咽神経・・・舌の後ろ1/3の味覚、咀嚼、嚥下
X:迷走神経・・・咀嚼と嚥下、副交感神経支配
XI:副神経・・・・僧帽筋・胸鎖乳突筋
XII:舌下神経・・・舌の動き
球麻痺の症状
嚥下障害:つかえ感、むせる、水が鼻に逆流
構音障害:鼻声、呂律が回らない
球麻痺の原因(偽性も含む)
脳血管障害
・脳幹梗塞(初期めまい、四肢麻痺、眼球運動障害、小脳失調、錐体路症状)
・椎骨動脈解離(発症時の持続する後頸部痛、後頭部痛、麻痺や失調、)
運動ニューロン障害(ALS、球脊髄性筋萎縮症) 舌や小手筋の萎縮や痙攣、錐体路症状
脱髄疾患(多発性硬化症、散在性脳脊髄炎、視神経脊髄炎)
ギラン・バレー症候群(先行感染)
肥厚性硬膜炎(頭痛、微熱、血液慢性炎症所見、MRIで硬膜肥厚)
重症筋無力症(眼瞼下垂、症状の日内変動、活動後に症状、テンシロンテスト陽性、反復刺激テストでwaning)
・大脳気質基底変性症
一側性の運動障害(一側性パーキンソニズム、ジストニア、ミオクローヌスなど)と認知機能障害を主症状とします。
患側の上下肢の腱反射全てが亢進。筋強剛(患側、左右差はパーキンソン病より明確)
手指巧緻障害。頸椎症との鑑別は、筋節、皮節に一致せずに、末梢ほど強い。
・ヒステリー性麻痺(変換症、転換性障害) hysterical weakness
医学用語としてヒステリーという病名は使われなくなっています。現在では、変換症、転換性障害と呼ばれています。
整形外科分野では、転換性障害の症状として、痛みやしびれ、麻痺が出てくることがあります。交通外傷や労災後に出てくることもあります。
高齢者の場合、無症状の頸椎異常によるものと誤診されることもよくあるとされています。必ずしも「画像異常所見=症状の原因」では無いことを肝に銘じなければなりません。
例えば、字が書きにくい、ボタンを掛けにくいなどの巧緻運動障害に加えて頚髄の圧迫所見があると、手術適応と判断されてしまうこともあります。しかし転換性障害でも起こります。
これらの鑑別には、神経学的な診察、電気生理学的検査などをしっかりと行う必要があります。
頚椎症性脊髄症の進展様式
典型的経過
脊髄中心部の灰白質に病変が生じ髄節症状をきたし、その後、圧迫が増大するにつれて、脊髄周辺部に広がり索路症状が出ます。
1.→自覚症状は、脊髄中心部の灰白質の障害(手指のしびれ)で発症します。通常、障害の強い方の手指のしびれで発症し、その後、対側にもしびれが及び、両上肢の感覚障害が生じます。さらに進行すると、上肢の筋力低下も起こります。髄節症候:後角(上肢の感覚)障害→前角(上肢の筋力)障害
2.→さらに、錐体路(下肢の深部腱反射の亢進など痙性症状)
3.→さらに外側の障害で、後索と脊髄視床路などの上向性感覚路が障害され、下肢のしびれが出現、最終的には歩行障害となります。
索路症候:錐体路(下肢の痙性)、脊髄視床路(躯幹、下肢の感覚)
Myelopathy Hand
脊髄症の症状は、索路徴候(脊髄白質障害 long tract sign)、髄節徴候(灰白質障害 segmental sign)に分けて考えると分かりやすい。
・索路徴候 白質(一次ニューロン)障害;圧迫高位より遠位に痙性麻痺筋力低下は認めても軽度→Myelopathy Hand(脊髄症の手)と称する
・髄節徴候 灰白質(二次ニューロン)障害;圧迫高位の脊髄支配筋に筋力低下、筋萎縮、支配筋の深部腱反射は低下または消失。(弛緩性麻痺)
*注;C6/7以下の病変では、手の症状がないことがある。
索路徴候
1.Myelopathy Hand(脊髄症の手)
頚髄症の手の症状は、索路徴候が主。(手内筋の髄節障害を伴う下位頸椎障害を除く)
Myelopathy handの特徴として「開きづらい手」「尺側の指が言うことを聞かない」「手袋状、長手袋状の知覚障害」「手指のじんじんする痛み」「不器用さを訴える手」
→検査法
1)10秒テスト
脊髄障害に広く見られる痙性症状。重症度を反映。高齢者で20回以下、壮年で25回以下は回数が低下と評価する。尺側の遅れは重症度に一致する。
2)Finger escape sign(FES)
両手回内位で前方に突き出して、全指をそろえて30秒伸展する→重症度に応じて、小指の内転保持が困難で離れていく。
| finger escape signのgrade分類 | ||
| Grade | 0 | 小指の内転保持可能 |
| 1 | 小指の内転保持不可 | |
| 2 | 小指の内転不可または小・環指の内転保持不可 | |
| 3 | 小指および環指の伸展および内転不可 | |
| 4 | 中止・環指・小指の進展および内転不可 | |
*grade1は神経根症でも時に認められる→DD 根症は10秒テストが正常
*尺骨神経麻痺とのDD;頚髄症ではMP関節の自動屈曲がgrade3,4でも可能。grade1,2では小指の対立および外転が保たれる
3)手指屈筋腱反射・・・病的反射では無く深部反射 反射中枢はC8(C6-TH1)
Hoffmann,Wartenberg,Tromer反射 いずれも手指が屈曲すれば陽性
4)感覚障害
白質(索路障害)+灰白質(髄節障害)→典型的なデルマトームには一致しない
髄節徴候
1.筋力低下・筋萎縮
手の筋萎縮はC5/6~C6/7高位でのC7-TH1髄節障害(髄節の方が骨より1~1.5椎体上方に位置するため)
C7,C8髄節障害で下垂指(総指伸筋障害)・・・後骨間神経麻痺(橈骨神経由来)との鑑別はC8-Th1髄節由来だが橈骨神経支配*で無い筋力の低下の有無で行う
*短母指外転筋(正中神経支配)、母指内転筋(尺骨神経支配)、第1背側骨間筋(尺骨神経支配)、小指外転筋(尺骨神経支配)
頚髄症でpseudo claw hand・・・示指、中指の伸展不良も伴う
2.手指屈筋腱反射消失
C8髄節障害では出現しないことが多い。
3.しびれの初発部位
圧迫高位の髄節徴候であることが多い。
頚部神経根症を正しく診断する
神経根症とは、脊椎から出る神経根部が何らかの圧迫を受けてその支配領域の痛み、しびれ、麻痺が出る病態をいいます。通常は片側性で、両側出る場合は左右の神経根に障害があります。頚椎の神経根はC1ーC8まであり、それぞれがオーバーラップしながら分布しています。 神経根の症状は比較的漠然としており、項部痛(C4)、肩甲上部痛(C5 or C6)、肩甲間部痛(C7 or C8)、肩甲骨部痛(C8)に分かれます。頚椎の神経根症の場合、上肢のしびれや痛みに先行して項部や肩甲部、肩甲内側部に同時もしくは先行して痛みが生じます。(項部痛や肩甲部痛、肩甲内側部痛のみのこともある)
逆に過去現在ともに項部や肩甲帯に痛みが出ていない場合は神経根症ではない可能性が高く、無いと言い切るドクターもいます。ただし痛みに関してはよく尋ねないと単なる肩こりと思っていることもあるので注意が必要です。
| 疼痛部位 | 片側性が原則。両側根症の場合は両側に。 | ||
| 項部 | C4 | C4 | 横隔神経→同側の横隔神経麻痺 |
| 肩甲上部 | C5、C6 | C5 | 三角筋の低下>上腕二頭筋の低下 |
| C6 | 三角筋の低下<上腕二頭筋の低下 | ||
| 肩甲間部 | C7,C8 | C7 | 上腕三頭筋減弱 |
| C8 | 手指内在筋減弱 下垂指 巧緻障害 | ||
| 肩甲骨部 | C8 | ||
ALS(筋萎縮性側索硬化症、amyerotorophic lateral sclerosis)は、頸椎症と初期症状が似ているので鑑別が極めて難しい。
ALSは上位運動ニューロンと下位運動ニューロンの両者が障害される進行性の神経変性疾患であり、感覚障害は出現しない。
従ってしびれ感が伴う場合はALSは否定的であるが、純粋に運動神経のみの障害を呈する場合は、ALSとの鑑別が重要となります。
とくに頚椎症性筋萎縮症は感覚障害を伴わず、上肢の強い筋力低下と筋萎縮が出現するので鑑別が難しくALSと間違われることが多い。
中高年のALSでは頸椎症が併存していることが多い。
ALS特有の症状として、球麻痺、複数レベルの脊髄障害、脳幹レベルの上位運動ニューロンの障害があります。
鑑別診断として、針筋電図(僧帽筋の評価が重要)、末梢神経伝導速度検査、加えて反復刺激試験を用いた電気生理学的な評価
注1:頸椎症における頚椎髄内T2高信号は、腫瘍、多発性硬化症、脊髄サルコイドーシスとの鑑別が必要。
注2:多発性硬化症とは、中枢神経(脳、脊髄)の脱髄、再発と寛解を繰り返す。視力低下、運動障害、感覚障害など多岐。若年成人(20-40歳)、女性に多い(男女比1:2)、C1-C3領域に多い。
頸椎症は下位頸椎に発症することが多いが、頸椎症に多発性硬化症が狭窄部位に高頻度に生じる。
参考:『頚椎症性脊髄症 診療ガイドライン2020』 / 『脊椎脊髄ジャーナル2017.2 頚椎症の特殊な症候学』 / 『関節外科』2022年5月号「上肢の麻痺と痛み」 / 『速考!脊椎外来診療エッセンス』 / 『脊椎脊髄ジャーナル2019.11 頚椎症性脊髄症に対する手術治療戦略』