背部弾性線維腫とは、肩甲骨の下側内側にできる、痛みの少ない良性のこぶです。中高年、特に55歳以上の女性に多く、沖縄の離島でよく見られます。肩甲骨と胸壁の間で、繰り返される摩擦や圧力が原因で、線維と脂肪が層のように重なったような組織ができると考えられています。MRIでは筋肉と同じ濃さに見えながら、中にレース状の脂肪が混じる特徴的な模様が現れます。大きくなっても動かしにくくなることは少なく、痛みがなければそのまま様子を見ます。悪性にはならず、自然に消えることもありませんが、放置しても問題ない病気です。
背部弾性線維腫 elastofibroma
背中が腫れた~コブが出来たと来院されます。
沖縄での報告が多く女性に多いです。中年以降、高齢で発症する人がほとんどです。肩甲骨下部内側に好発しますが稀な腫瘍性疾患(弾性線維腫)です。胸壁や鼡径部、大転子部にはっせいすることもあります。
微小な外傷が繰り返されて起こる反応性過形成と言われています。穏やかに増大し、痛みが出ることはまれで腫れに気づいて医療機関を受診することが多いです。
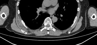
触診、CT、MRI、超音波断層撮影で肩甲骨に接するような腫瘤を認めます。発生する場所や腫瘤の形態から診断します。MRIの所見は筋肉とおなじ吸収域を示し、内部に脂肪が混在します。
痛みが強ければ手術を行いますが、無症状の場合は経過を観察します。知っていないと診断できないまれな病気と言えます。

